娄底市第三人民医院

您当前位置:网站首页 >>文章内容

雪花医案第四期
信息来源:本站 作者:admin 更新日期:2014-6-15 6:45:59

 

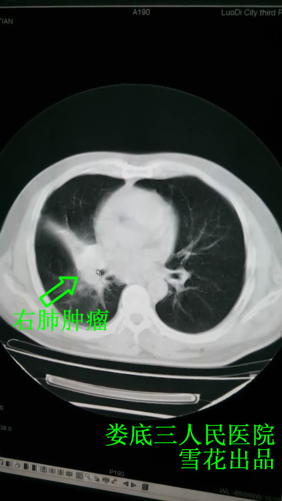
    邹XX,男,47岁,因阵发性咳嗽咳痰2到湖南省肿瘤医院行肺部CT检查考虑右肺癌,行纤支镜检及活检,确诊为右肺小细胞肺癌局限期。在湖南省肿瘤医院行4周期化疗,均给予“VP-16 0.21 d-3 DDP 132mg d1”,为求放疗来我院,入院查肺部CT示:右下肺支气管狭窄并软组织,考虑中央型肺癌并右肺下叶阻塞性肺炎,右侧斜裂增厚,纵膈、腔气间隙、隆突下及右肺门多发淋巴结肿大(见图一)。立即给予右肺肿块及纵膈淋巴结三维适形放疗48Gy/16/22天,当时患者舌脉未见明显异常,但考虑到放疗可能会伤津耗气,于放疗第3天开始给予补中益气汤+滋阴润肺药物口服,每日一剂,分两次服。
    党参12克、白术12克、柴胡12克、黄芩12克、当归10克、升麻10克、陈皮12克、甘草6克、沙参20克、麦冬20克、川贝15克、百合15
    放疗后复查肺部CT示右肺癌治疗后较前明显好转(见图二),患者无明显放疗反应,病情好转出院。

 


机关/事业单位标识
By:Nzcms v7.6.6-4174